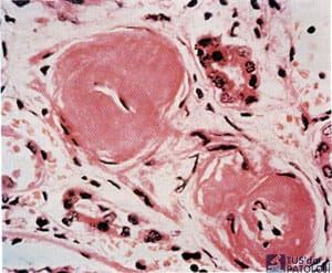
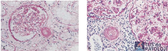
Beniğn Nefroskleroz

Daha büyük damarlarda (interlobar ve arkuat arterler) internal elastik laminada reduplikasyon ve mediada fibrozis görülür. Fibroelastikhiperplazi denir. Diğer primer böbrek hastalıklarının üzerine benign nefroskleroz eklenir. Tek başına olursa fazla hasar oluşturmaz. Yine de konsantrasyon bozukluğu, glomerüler filtrasyon hızında azalma yapabilir. Böbreklerde bilateral simetrik kontraksiyon görülür. Komplike olmayan vakalarda böbrek yetmezliği nadiridr.Ama zencilerde, diabet gibi altta yatan başka bir hastalığı olanlarda ve ağır hipertansiyonlularda prognoz kötüdür.

TROMBOTİK MİKROANJİOPATİ
Klinikte mikroanjiopatik hemolitik anemi, trombositopeni ve bazı durumlarda renal yetmezlik ile karakterli mikrosirkülasyonda yaygın trombozis oluşumudur.
1. Çocukluk çağı hemolitik – üremik sendromu (HUS)
2. Değişik erişkin HUS formları
3. Trombotik trombositopenik purpura
Henüz üye değil misiniz? Kayıt olun
Üye misiniz? Girişi yapın